Oral Spirochetes: The Hidden Threat to Your Smile
Posted by : Admin Posted on : 22 May 2025
- Vedic Smile
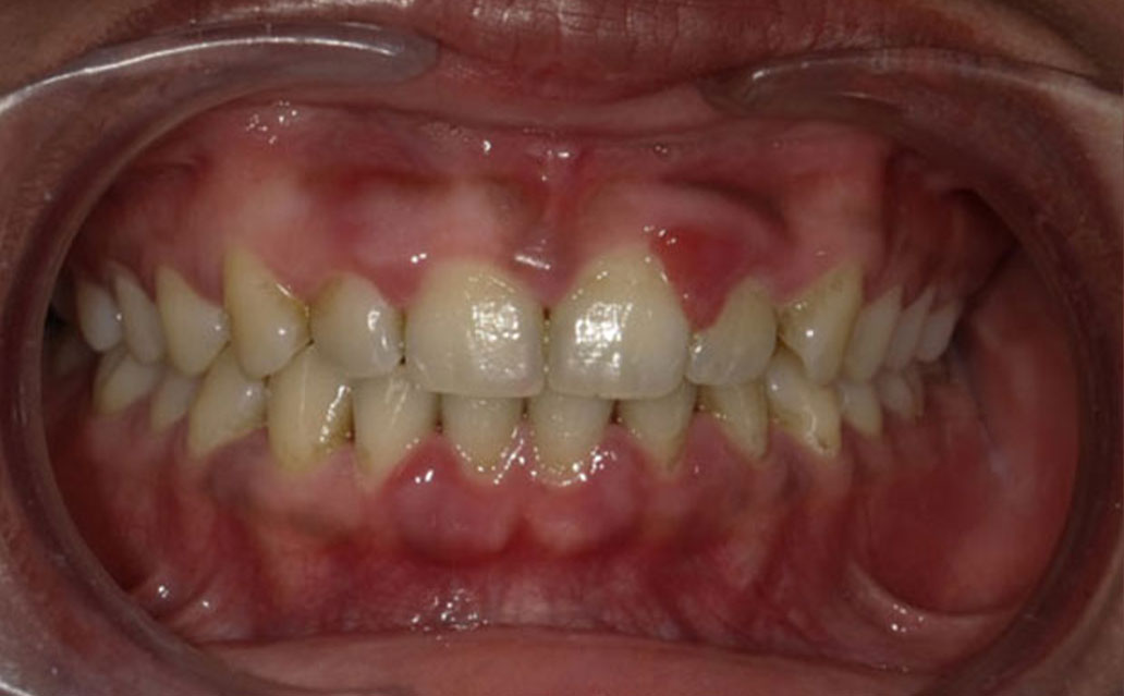
It often starts innocently: a little blood in the sink after brushing, slight tenderness in your gums, or maybe a hint of bad breath that you blame on lunch. You shrug it off — after all, it’s just your gums. But beneath that swollen, bleeding smile, something deeper is brewing — quietly and methodically. By the time the signs become truly noticeable — persistent bleeding, swollen and tender gums, and ongoing bad breath — it’s often too late. The disease has already taken root, hidden beneath the surface, slowly but surely undermining your oral health.
Second only to your gut, your mouth hosts the most diverse microbiome in your body, with over 700 species of bacteria and microorganisms forming bustling colonies on your teeth, gums, tongue, and hard palate. It’s like a microscopic city: some residents are friendly and essential to your health, while others are troublemakers, silently attacking your gums and teeth. This delicate balance is essential to your well-being, but it can easily be disturbed. When the balance tips in favor of the troublemakers, they begin their quiet, destructive work, leaving behind a trail of damage that often goes unnoticed until it’s too late.
What Are Oral Spirochetes?
Oral spirochetes are a type of harmful bacteria commonly found in the mouth. Recognizable by their spiral shape and high mobility, these microbes can easily penetrate gum tissue, causing significant damage. Under a microscope, they resemble tiny corkscrews burrowing into healthy areas of the gums.
While the mouth naturally harbors a variety of bacteria—both beneficial and harmful—oral spirochetes are among the most destructive. They are strongly associated with advanced gum disease (periodontitis), bone loss, persistent bad breath, and, if left untreated, eventual tooth loss.
How Do Oral Spirochetes Develop?
These harmful bacteria thrive in environments where oral hygiene is neglected. When plaque and food debris aren't properly removed, they create the ideal conditions for spirochetes to grow and multiply. They thrive in the anaerobic (oxygen-free) environments that are characteristic of periodontal pockets – the spaces that form between the teeth and gums in gum disease. Factors like smoking, chronic stress, poor nutrition, and underlying health issues can further weaken the body's natural defenses, making it easier for these bacteria to gain a foothold.
What makes them particularly concerning is how easily they go unnoticed. Early warning signs—such as bleeding gums, tenderness, or occasional bad breath—are often overlooked. But behind the scenes, oral spirochetes are actively causing deep pockets in the gums and damaging the structures that support your teeth.
How Are Oral Spirochetes Detected?
At our hospital, we perform thorough clinical oral examinations, carefully checking for signs of infection, gum disease, and other oral health concerns such as bleeding gums, swelling, or persistent bad breath. If harmful bacteria—such as oral spirochetes—are suspected, we may collect a small, painless sample from the surface of your gums using a gentle, non-invasive technique that causes no discomfort.
This sample is then analyzed using a specialized microscope capable of recording and magnifying the bacteria present. Equipped with advanced imaging features, the microscope allows your dentist to observe the movement and behavior of the microbes in real time. Oral spirochetes are easily recognized by their unique spiral shape and corkscrew-like motion.
This test is quick, simple, and highly informative. By identifying harmful bacteria like spirochetes early, we can detect potential issues before they lead to serious damage to your gums, teeth, or overall oral health.
How are they transmitted?
These bacteria can enter your mouth through everyday activities, often without you realizing it:
- Kissing – direct saliva exchange allows bacteria to spread.
- Pets licking your face – animals carry bacteria that can transfer to your skin and mouth.
- Sharing utensils or drinks – even brief contact can transfer harmful microbes.
- Tasting food from the same spoon – common between parents and children, creating early exposure.
- It’s easier than most people think, and once they’re in, they settle in fast.
![]() |
Stay Tuned for Part 2 – SpiroClear Therapy: A Simple, Predictable, and Non-Surgical Approach
New Article
|
|
Oral Spirochetes: The Hidden Threat to Your Smile - Vedic Smile |
|
|
Correcting Anterior Smile Aesthetics - Vedic Smile |
|
|
Align Your Smile and Be Confident - Vedic Smile |
|
|
Stop Hiding, Start Smiling - Vedic Smile |
|
|
Give Your Extracted Teeth a Second Chance: The Role of Dentin Grafts - Vedic Smile |
|
|
Smile Makeup: The Power of a Confident Smile - Dr. Priya Shrestha |
|
|
Is Your Gum Really Healthy? Find Out Now! - Dr. Soni Bista |
|
|
Rooted in Tradition, Driven by Innovation - Dr. Gresha Shrestha |









