Smile Makeup: The Power of a Confident Smile
Posted by : Admin | Posted on : 13 Jan 2025
- Dr. Priya Shrestha
A smile is far more than just a simple curve of the lips or an instinctive human gesture; it is a universal language that speaks across cultures and transcends all barriers. A smile has the incredible ability to bridge gaps, lift spirits, and forge lasting connections. Its power is undeniable, making it a vital part of human interaction. Across all age groups—whether in the tender years of childhood or the reflective twilight of age—a genuine smile carries immense value. Regardless of one's stage in life or personal circumstances, a sincere smile is a priceless asset, capable of enhancing personal well-being and nurturing deep, meaningful relationships with others.
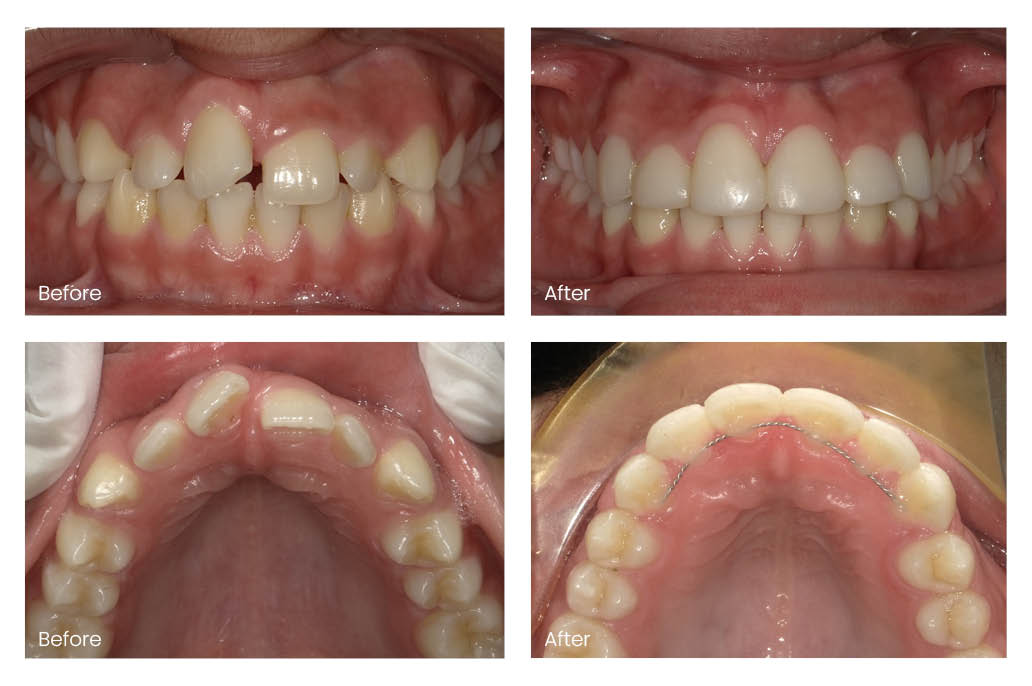
For a young boy walking through the corridors of Gurukula with a crooked smile, the importance extends far beyond mere visual appeal. The significance of his smile lies in the way it impacts his self-esteem, his confidence, and his ability to connect with others. A smile, after all, is often the first impression people form, and for a child, it can influence how they are perceived and how they perceive themselves. Addressing such issues through Smile Makeup does more than just enhance appearance—it restores a sense of pride and self-assurance. By improving not only the smile but also the functionality of his teeth, Smile Makeup has helped boost his confidence, social interactions, and overall oral health. This holistic approach to cosmetic dentistry has the power to transform lives, providing not just a brighter smile but a brighter future.
| My Smile Makeup Experiences... |
|
I am deeply thankful for the opportunity to improve my smile and for the unwavering support and guidance from the Vedic Smile team and National Dental Hospital throughout this journey. Their expertise and encouragement have made all the difference. Mr. Keshav Raj JoshiBhaktivedanta Gurukula Nepal, Budhanilkantha |
![]() |
New Article
|
|
Oral Spirochetes: The Hidden Threat to Your Smile - Vedic Smile |
|
|
Correcting Anterior Smile Aesthetics - Vedic Smile |
|
|
Align Your Smile and Be Confident - Vedic Smile |
|
|
Stop Hiding, Start Smiling - Vedic Smile |
|
|
Give Your Extracted Teeth a Second Chance: The Role of Dentin Grafts - Vedic Smile |
|
|
Smile Makeup: The Power of a Confident Smile - Dr. Priya Shrestha |
|
|
Rooted in Tradition, Driven by Innovation - Dr. Gresha Shrestha |

Before I underwent Smile Makeup braces, I often felt shy and self-conscious, particularly in social settings. I would instinctively cover my mouth when laughing, feeling insecure about my crooked teeth. Teasing and comments from others only made me feel more uncomfortable and amplified my insecurities. However, everything changed for the better once I got Smile Makeup braces. Now, I can smile with confidence, without worrying about how my teeth look. I vividly remember my first visit to National Dental Hospital, where I learned not only about the transformative power of a smile but also how Smile Makeup could significantly boost my self-esteem. This encouragement motivated me to take extra care of my teeth throughout the treatment process. Looking back, I’m absolutely amazed by the transformation. The changes are visible, and others have complimented me on how beautiful my smile has become. It’s incredibly rewarding to see this progress and, for the first time, truly feel proud of my smile.







