Correcting Anterior Smile Aesthetics
Posted by : Admin | Posted on : 4 Feb 2025
- Vedic Smile
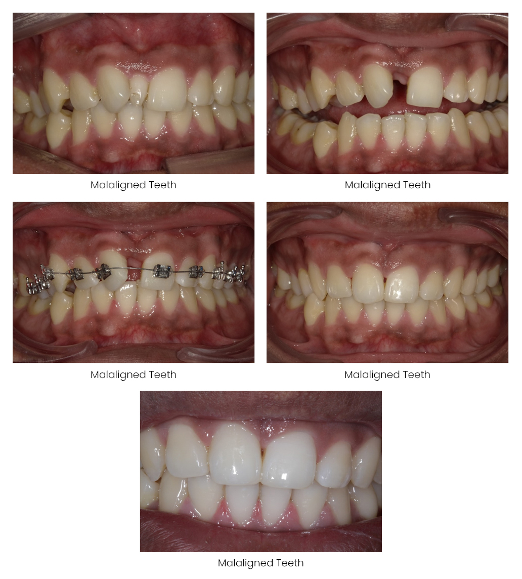
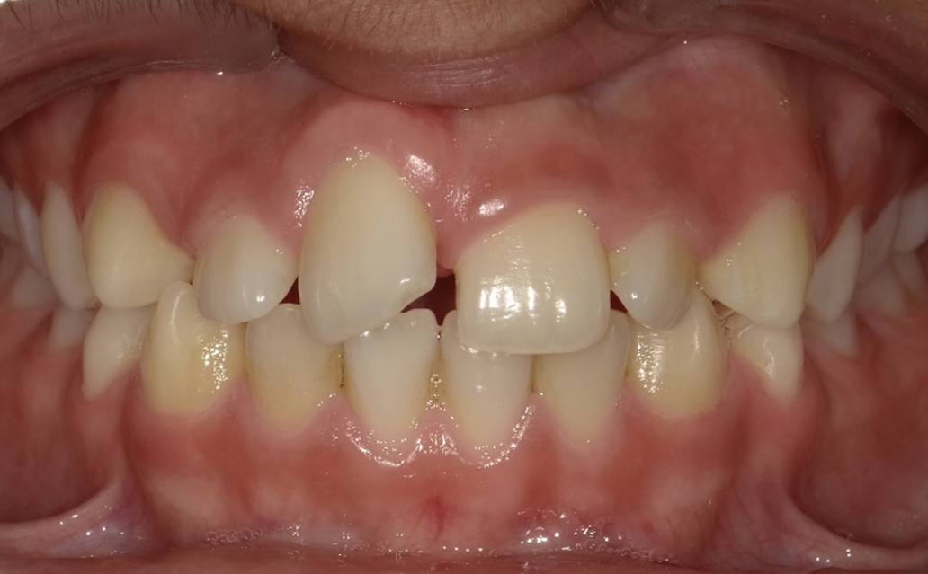
The path to a brighter smile was more than just about looks; it was about rediscovering a sense of self-esteem for this 22-year-old. For over a decade, he had lived with an extra tooth in his upper front jaw. At first, it seemed like a minor issue, one he could easily overlook. Over time, it slowly began to bother him more than he expected. He grew increasingly self-conscious about how his smile made him look, and it started affecting how he interacted with others.
The man visited several dental clinics, each offering a similar solution: remove the extra tooth and get a dental bridge. But the thought of altering his healthy teeth left him hesitant. He wasn’t ready to make that choice—not yet.
One day, by sheer coincidence, he found himself at our hospital for an unrelated matter. Something about the atmosphere made him decide to finally check on his teeth. That’s when he discovered the solution he’d been searching for: Smile Makeup. At our hospital, we follow a patient-centered approach with our “MiCD Care- Philosophy and Clinical Framework.” We understand that each person is unique, and so are their needs. After assessing his case, we presented him with options tailored to both his desires and concerns.
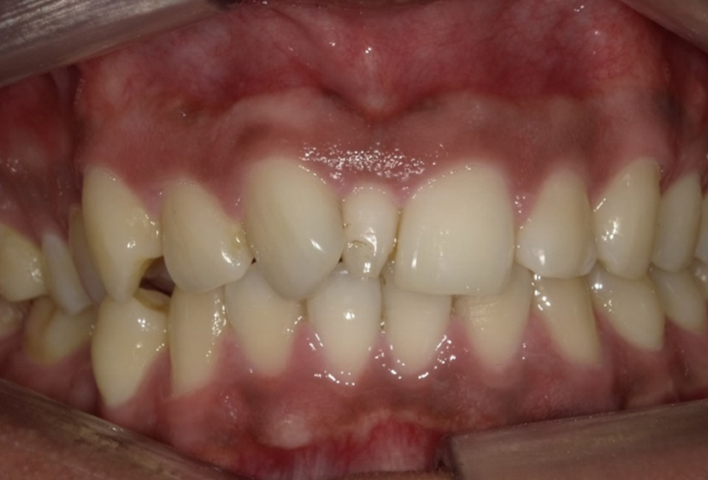
We recommended Smile Makeup Ortho: a treatment using affordable metallic braces combined with a minor re-contouring of his front teeth. It was a simple, yet effective approach—one that wouldn’t compromise his healthy teeth, but would still give him the smile he longed for.The results? A stunning transformation that went beyond just looks. His new smile gave him a renewed sense of self, empowering him to face the world with a newfound ease.
![]() |
Smile Makeup wasn’t just about improving his appearance—it was about helping him feel like the best version of himself.
New Article
|
|
Oral Spirochetes: The Hidden Threat to Your Smile - Vedic Smile |
|
|
Correcting Anterior Smile Aesthetics - Vedic Smile |
|
|
Align Your Smile and Be Confident - Vedic Smile |
|
|
Stop Hiding, Start Smiling - Vedic Smile |
|
|
Give Your Extracted Teeth a Second Chance: The Role of Dentin Grafts - Vedic Smile |
|
|
Smile Makeup: The Power of a Confident Smile - Dr. Priya Shrestha |
|
|
Rooted in Tradition, Driven by Innovation - Dr. Gresha Shrestha |









